近日,动科动医公司同一健康与交叉前沿学科研究团队在国际权威期刊《Advanced Science》(中科院一区TOP期刊,IF5-year:16.3)发表了题为“The MICOS complex subunit Mic60 is hijacked by intracellular bacteria to manipulate mitochondrial dynamics and promote bacterial pathogenicity”的最新研究论文。程昌勇教授为论文第一作者,宋厚辉教授为论文通讯作者。该研究得到了国家重点研发计划青年科学家项目、国家自然科学基金、浙江省自然科学基金等项目的支持。

研究结论:该研究聚焦重要人兽共患胞内病原菌——单增李斯特菌,系统探索了病原在感染过程中与宿主线粒体的调控关系,首次揭示了细菌重要毒力因子与线粒体接触位点和嵴组织系统(MICOS)复合物的互作分子机制。
理论创新:人和动物线粒体作为细胞中的能量供应站和决定细胞命运的重要枢纽,在细胞生理变化、先天免疫反应和新陈代谢等方面发挥关键功能。该研究系统阐释了单增李斯特菌如何以宿主线粒体MICOS复合物Mic60等关键亚基为靶标,通过细菌毒力因子与宿主蛋白互作调控线粒体结构变化、能量代谢以及免疫逃逸等重要感染生物学过程;从病原和宿主层面解析了细菌毒力因子和宿主线粒体结构蛋白互作的关键结构域和氨基酸位点,揭示了细菌通过调控宿主细胞器结构和功能变化介导感染生存的生物学机理。
科学价值:该研究不仅加深了我们对病原微生物在感染过程中与宿主重要细胞器互作机制的理解,而且对于研发针对重要人兽共患胞内菌的新型药物等防控策略以及保障公共卫生安全具有重要意义。
论文链接:http://doi.org/10.1002/advs.202406760

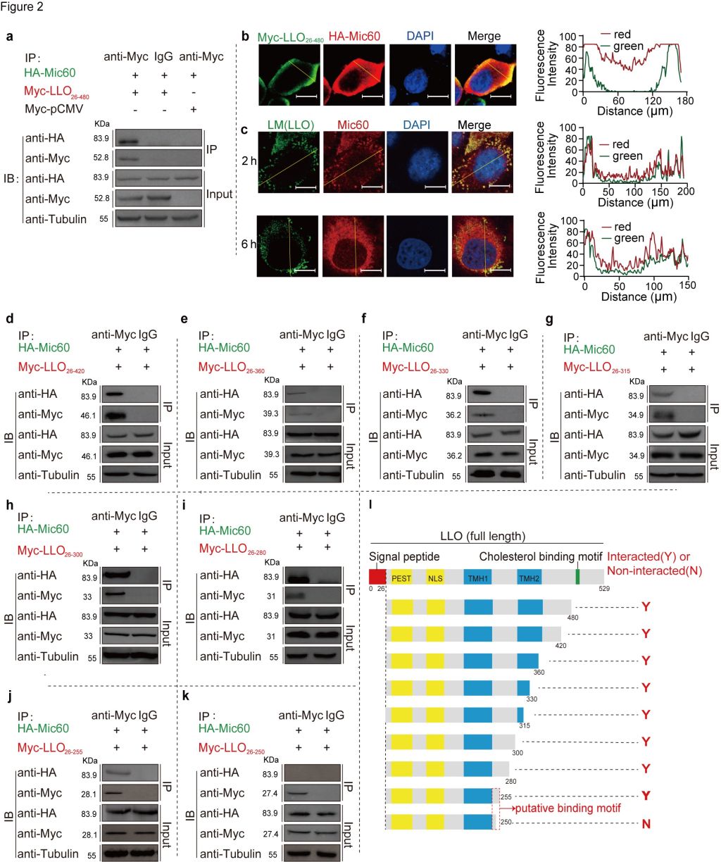
(论文主要发现之一:单增李斯特菌毒力因子溶血素LLO与宿主线粒体膜结构蛋白Mic60的互作关键结构域和氨基酸位点)

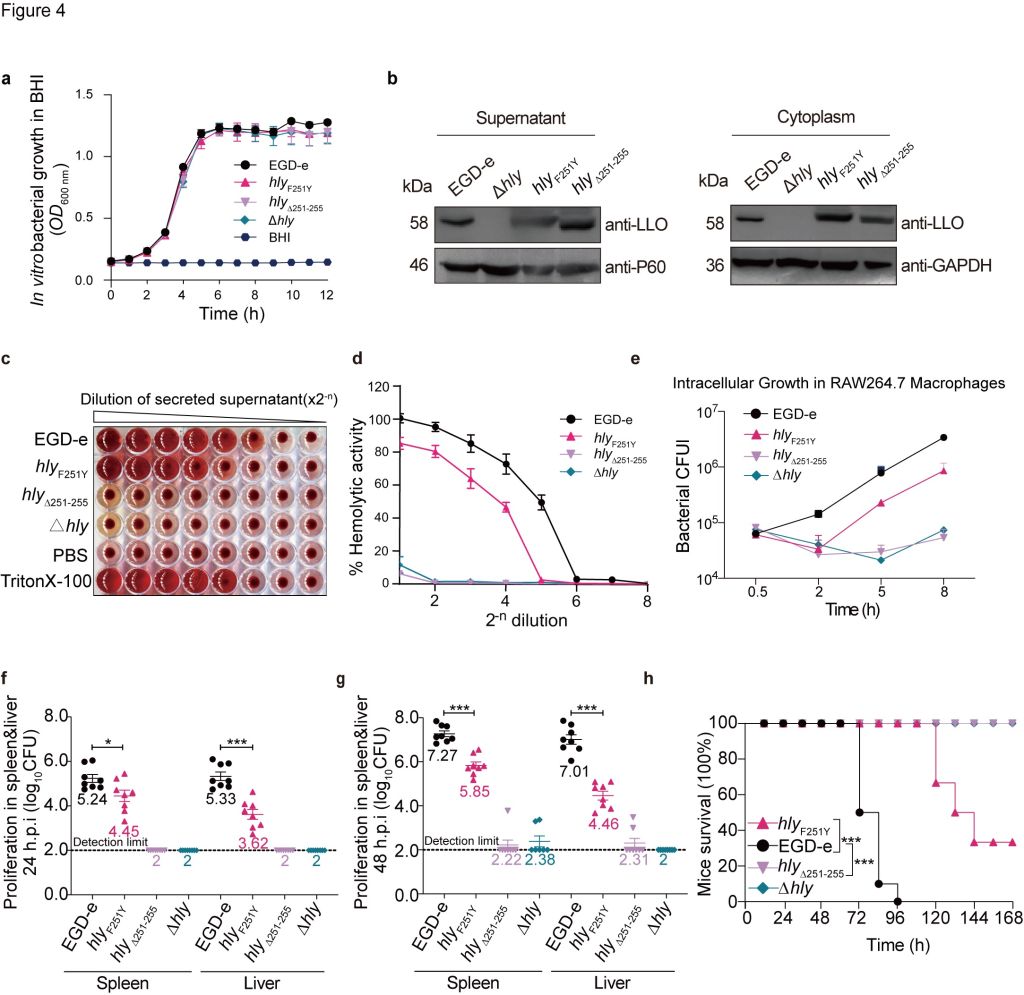
(论文主要发现之二:单增李斯特菌毒力因子溶血素LLO的互作关键结构域和位点在细菌感染中发挥的重要作用)

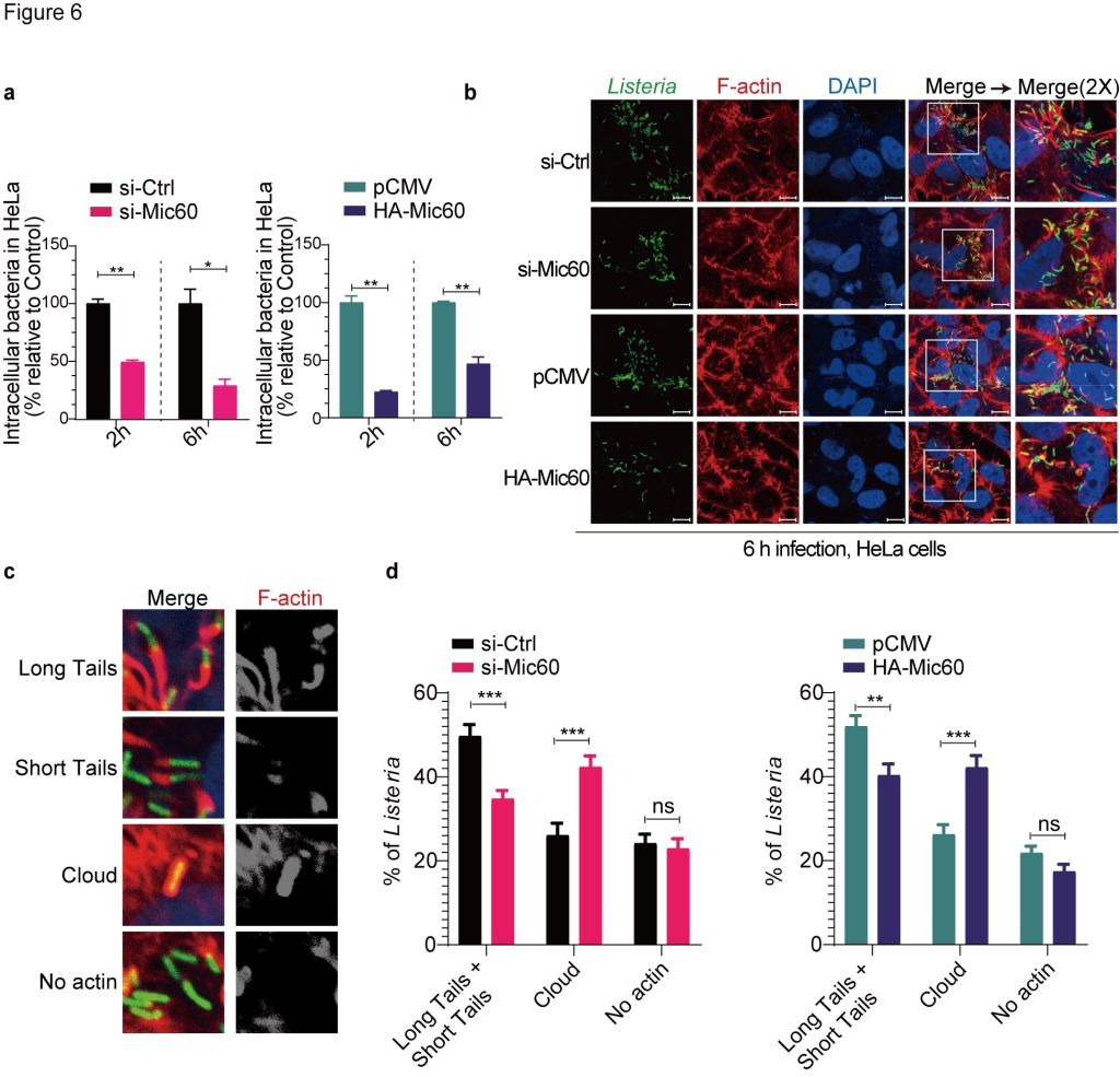
(论文主要发现之三:单增李斯特菌毒力因子溶血素LLO调控线粒体结构变化介导细菌在宿主内感染和迁移的生物学过程)

(论文机制图:单增李斯特菌毒力因子溶血素LLO通过与宿主线粒体结构蛋白互作调控线粒体结构变化的生物学过程和分子机制)